发布时间:2023-02-21作者:点击: 次
80岁的邓大爷,反复咳嗽咳痰气促10年余。近期因症状加重到我院内科住院治疗。胸部CT提示,邓大爷左侧胸腔大量气胸,两肺气肿,肺部感染。

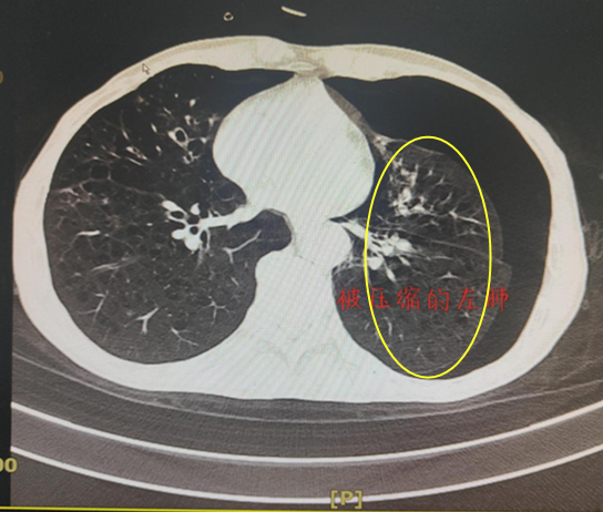
CT检查提示左肺被压缩
入院后,内科医师给予经鼻导管吸氧、胸腔闭式引流、抗感染、化痰、平喘等治疗,但症状无明显好转,胸口闷,呼吸急促等不适仍困扰着邓大爷。考虑到高浓度吸氧可加快胸腔内气体的吸收,医生决定予以经鼻高流量湿化氧疗。

邓大爷接受经鼻高流量湿化氧疗
“今天吸氧,感觉没那么喘了”。邓大爷虽不了解吸氧与吸氧之间有何区别,但自觉气促症状好转。事实证明,他的感觉是对的,联合经鼻高流量湿化氧疗后,邓大爷胸腔闭式引流瓶中逐渐无水柱波动及气泡冒出,气胸症状明显改善。继续治疗4天后,复查胸部CT提示气胸已完全吸收,邓大爷顺利出院了。

CT复查提示左肺已完全复张
【科普课题】那么,何为经鼻高流量湿化氧疗?它与传统氧疗相比有何优势?
经鼻高流量湿化氧疗(HFNC)是指通过一种高流量鼻塞持续为患者提供可以调控并相对恒定的吸氧浓度(21%~100%)、温度(31~37 ℃)和湿度的高流量(8~80 L/min)吸入气体的治疗方式。该疗法是一种新的呼吸支持技术,通过加温、湿化装置使气体达到人体最适宜的温度、湿度,可以有效改善患者氧合,大大提高了氧疗的舒适性,明显缩短无创以及有创机械通气疗程,近年来在临床得到广泛应用。
优势:
1.通过输送高流速气体的方式,可以维持一定水平的呼气末正压,维持肺泡开放,有利于呼气末肺泡复张和气血交换;
2.可为患者提供恒定的、可调节的高流速空氧混合气体,冲刷患者呼气末残留在鼻腔、口腔及咽部的解剖无效腔的气体,可明显减少患者下一次吸气时吸入的CO2的含量;
3.可以明显降低患者鼻、口、咽喉的干燥评分,有助于稀释痰液和排痰,修复和维持人呼吸道上皮细胞和纤毛的结构和功能,提高患者的舒适度,降低下呼吸道感染的发生几率;
4.恒温恒湿的高流量气体,患者在吸气时不需要用力吸气也不需要对吸入气体进行加温加湿,降低吸气阻力,同时避免患者对吸入气体进行温化湿化所需的代谢消耗,减少患者的呼吸做功。
适应证:
(一)单纯低氧性呼吸衰竭(I型呼吸衰竭)
1.重症肺炎(包含新冠病毒引起的重症肺炎)
2.急性呼吸窘迫综合征;
3.其他Ⅰ型呼吸衰竭疾病:如急性肺水肿、间质性肺炎
(二)低氧合并高碳酸血症(II型呼吸衰竭)
慢性阻塞性肺疾病、支气管扩张、阻塞性睡眠呼吸暂停综合征等
(三)有创通气序贯治疗
ICU危重症患者撤机、外科术后患者撤机、危重气切患者撤机后序贯治疗。
经鼻高流量氧疗作为一种新的氧疗方式,与传统氧疗方式相比有明显优势。我院内科目前配备2台设备,广泛推开该项技术,对各种原因引起的呼吸困难、低氧血症取得良好效果,对单纯低氧性呼吸衰竭(Ⅰ型呼吸衰竭)患者具有积极的治疗作用,对部分轻度低氧合并高碳酸血症(Ⅱ型呼吸衰竭)也具有治疗作用,获得了广大群众患者的认可。

科室配置的HF-75A经鼻高流量湿化治疗仪
内科简介
科室主要收治呼吸、内分泌、肾病、血液病及老年疾病患者。擅长中西医结合治疗慢性阻塞性肺疾病、肺气肿、肺源性心脏病、支气管哮喘、支气管扩张、肺动脉高压、急慢性支气管炎、肺炎、糖尿病、糖尿病酮症酸中毒、高渗性非酮症性糖尿病昏迷、甲亢、甲减、急慢性肾功能衰竭、尿毒症、感染性疾病等。
